Dentisterie Esthétique
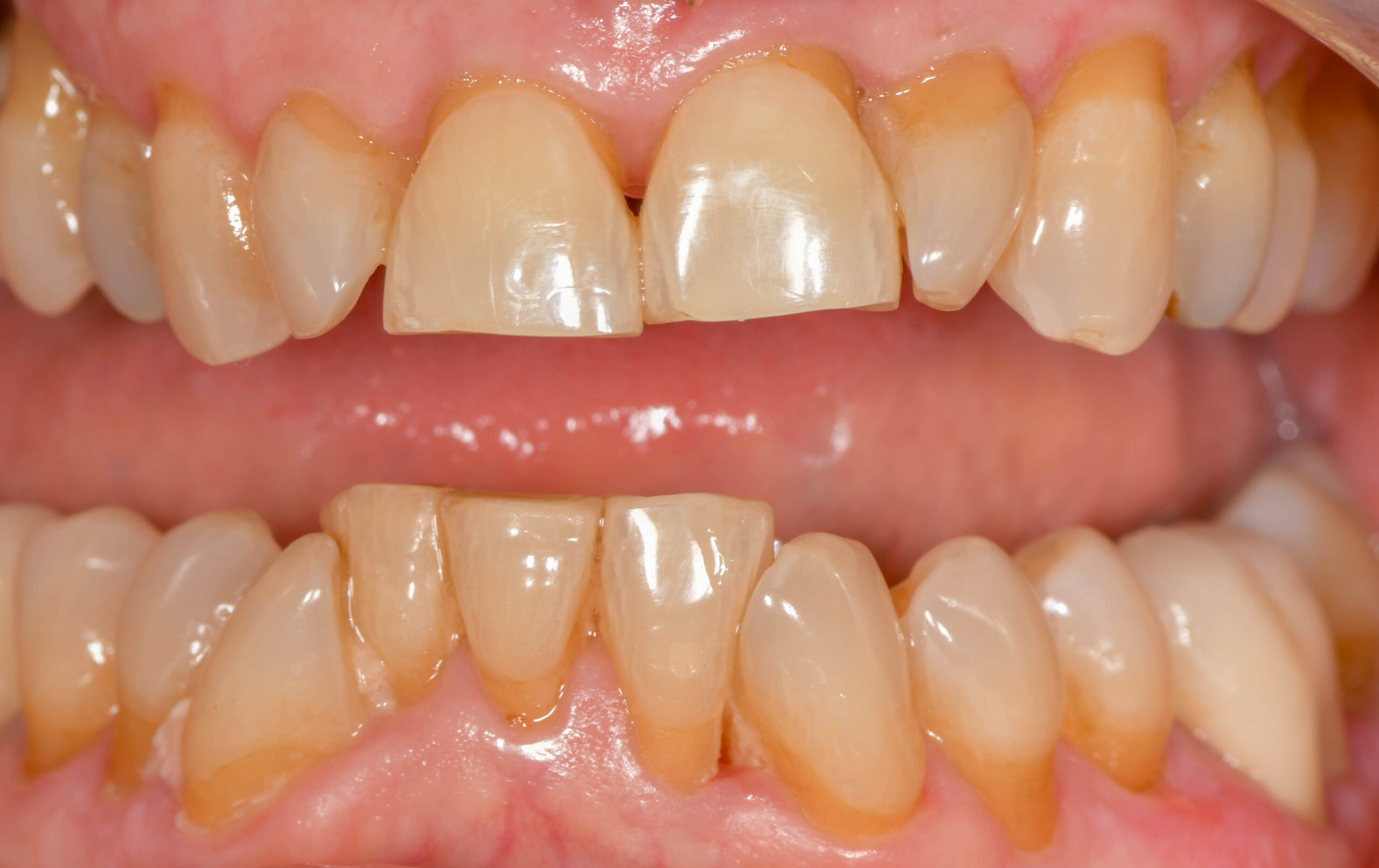
Patiente avec des dents jaunes dues à la prise d’antibiotiques jeune et avec des comosites anciens. Des facettes céramique ont été réalisées afin de redonner un sourire harmonieux à la patiente.
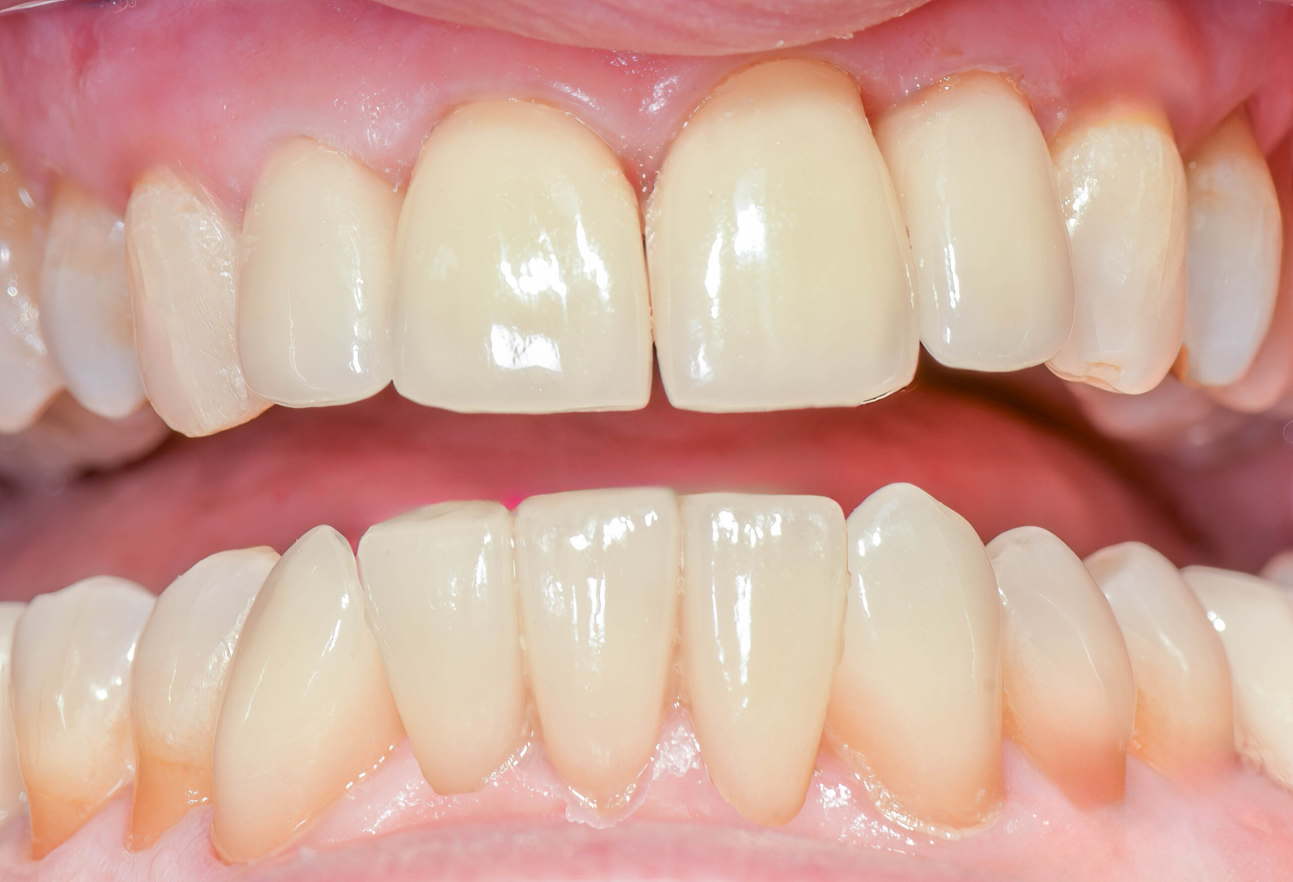
Patiente avec des chevauchements dentaires importants. La solution de réaliser des couronnes céramique est acceptée par la patiente au lieu d’un traitement orthodontique long.
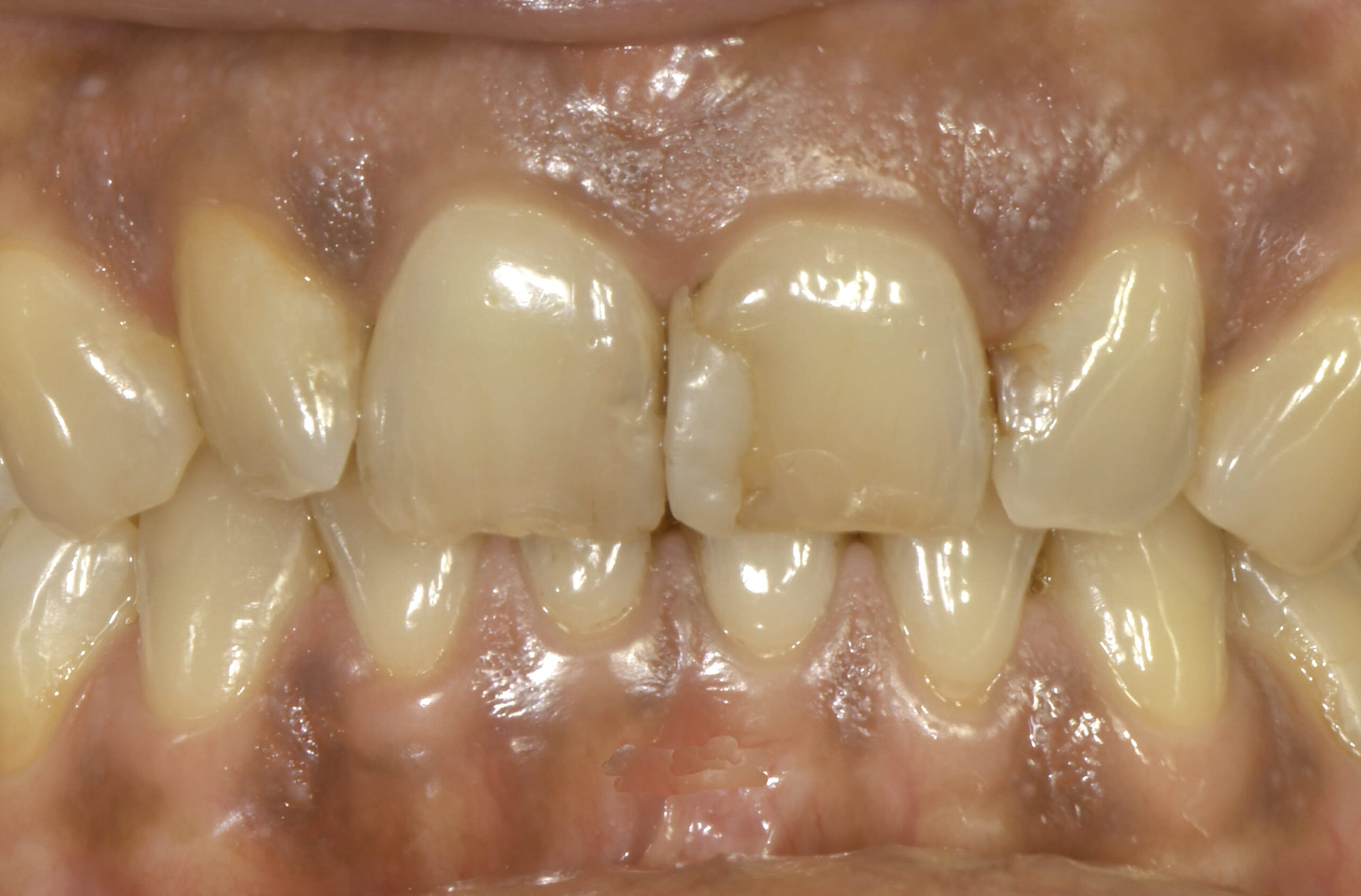
Patiente ayant subi un choc sur l’incisive centrale entrainant une coloration jaune de cette dent.
Une facette a été réalisée de manière à reproduire la teinte des autres incisives.
