Implantologie Non Chirurgicale

Patiente édentée à la mâchoire supérieure. L’os était très fin et des greffes osseuses avaient été proposées à la patiente qui s’y refusait compte tenu de l’importance des interventions.

5 mini-implants ont été placés sans recourir à des greffes osseuses et un appareil complet à la mâchoire supérieure est parfaitement stabilisé grâce aux mini-implants. 

La patiente retrouve la joie de vivre et le goût de s’alimenter.

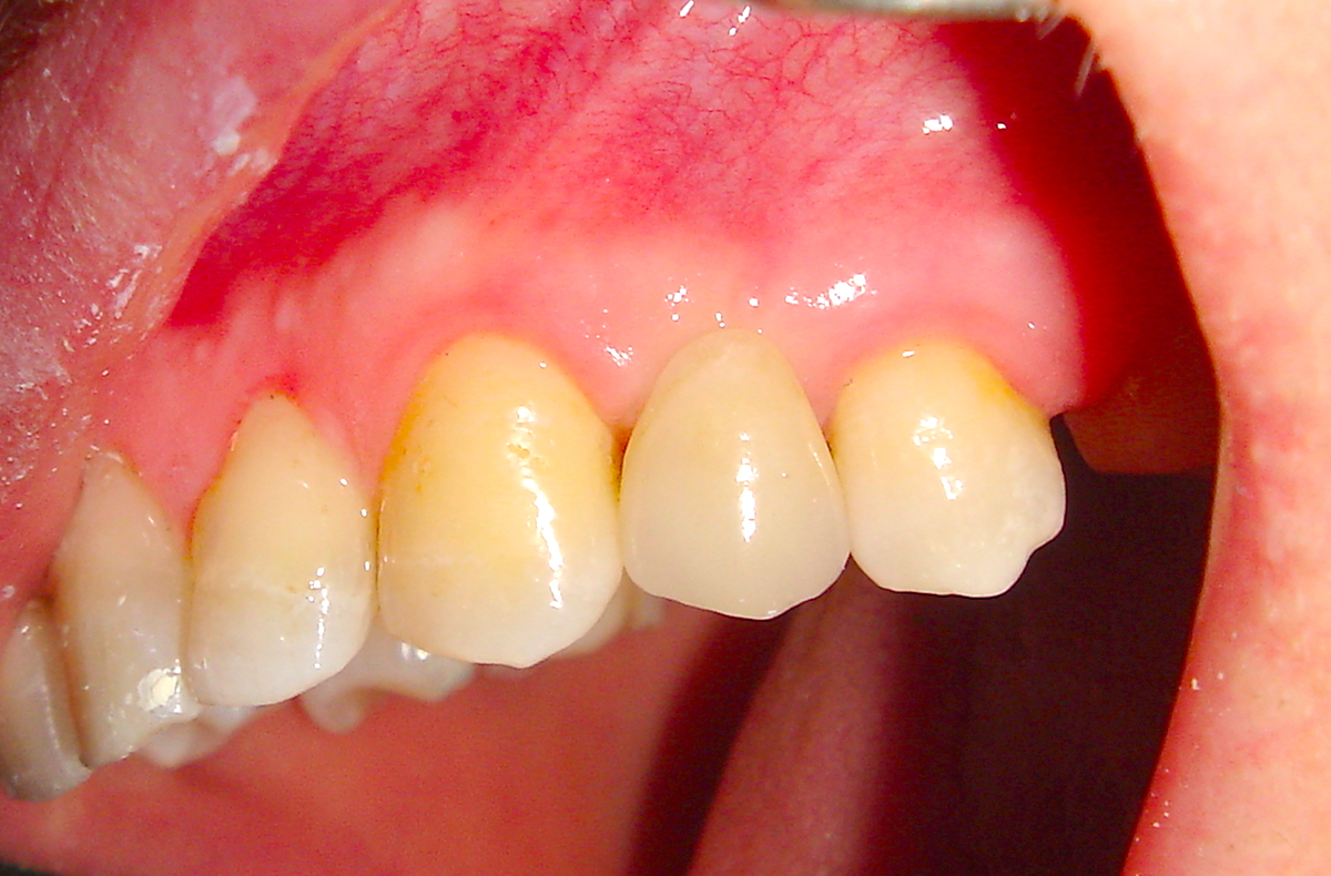
Patiente ayant les deux dents encadrant la dent manquante qui se touchaient au niveau des racines.

La solution de poser un mini-implant a permis d’éviter d’abimer les deux racines et de restaurer de mnière esthétique la dentition de cette patiente.

Patiente âgée de 88 ans désirant restaurer le ssctuer de dents absentes mais compte tenu de son état de santé seule une intervention légère a été recommandée par son médecin traitant.

La pose de 4 mini-implants ont permis en moins de 30 minutes de permettre à la patiente d’obtenir un bridge céramique quelques semaines plus tard et restaurer ainsi sa capacité masticatoire.