Prothèse dentaire
Chute de la patiente ayant entrainé des fractures des incisives.
Des couronnes tout en céramique sont réalisées afin de redonner le sourire à la patiente.
Patiente présentant des dents mobiles avec des migrations laisant apparaître des espaces. Un bridge céramique est réalisé de manière à supprimer les espaces et immobiliser les dents.
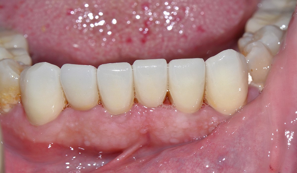
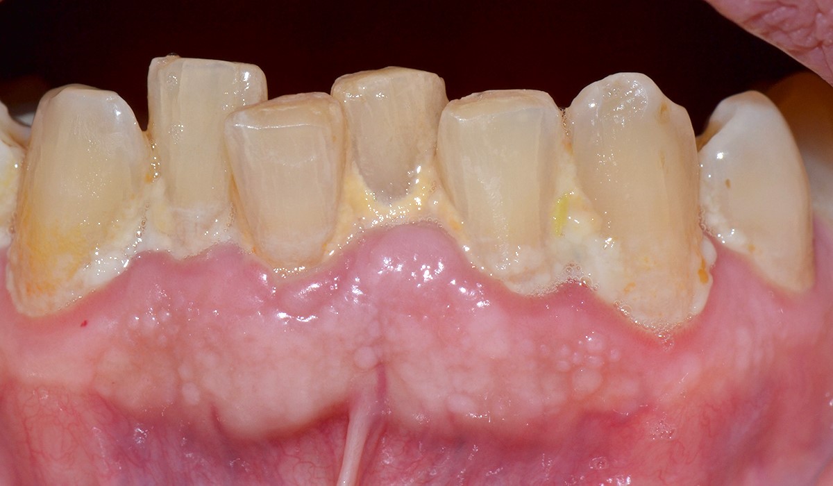
Patient avec des chevauchements dentaires favorisant l’apparition de tartre. Des facettes céramique sont réalisées de manière à rétablir une implantation correcte des incisives inférieures.
