Soins dentaires
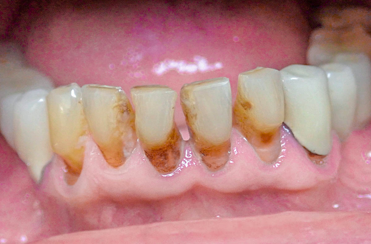
Patient atteint de rétraction de gencive avec apparition d’espace entre les dents. Des composites ont été réalisés de manière à protéger les racines exposées et éliminer les espaces interdentaires.
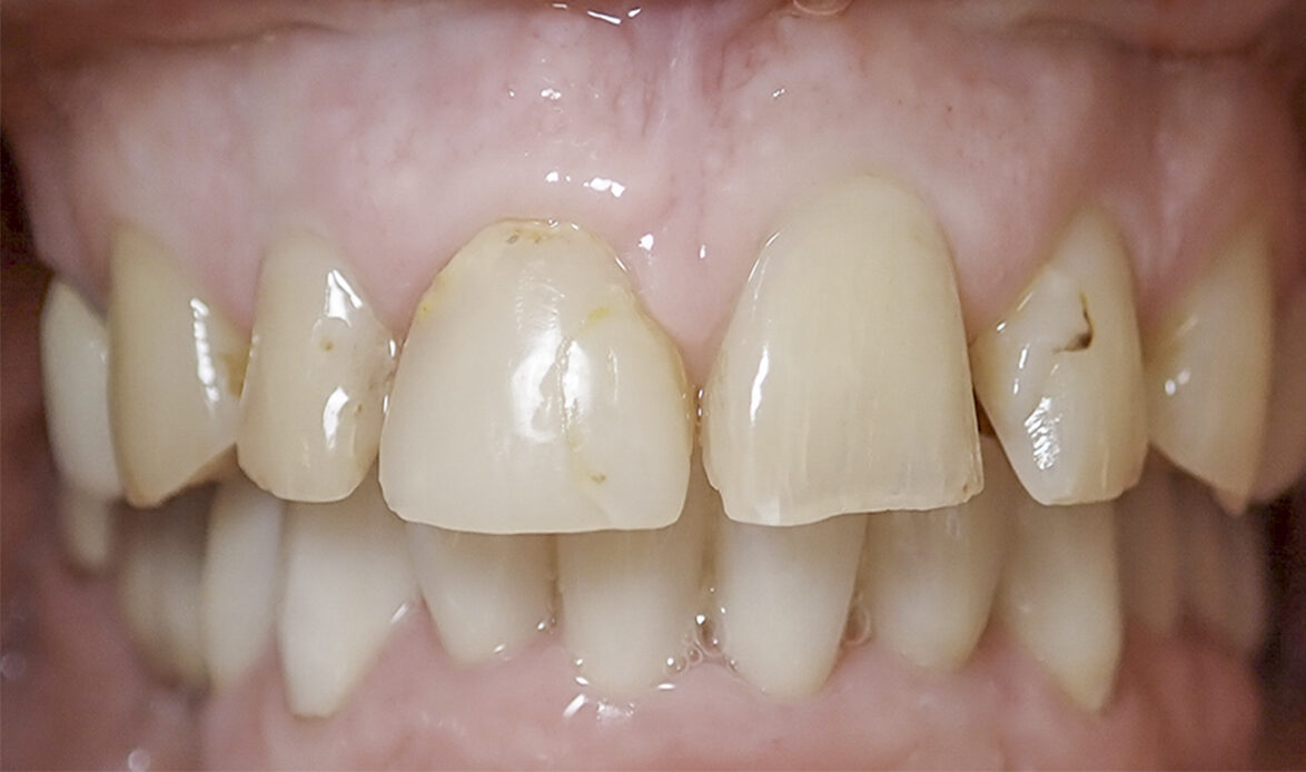
Patiente présentant des usures des dents supérieures entraînant des sensibilités au froid et au sucre et altération du sourire. Les dents ont été complètement redessinées avec des composites: ainsi il ny a plus de sensibilités dentaires et l’esthétique du sourire est restaurée.
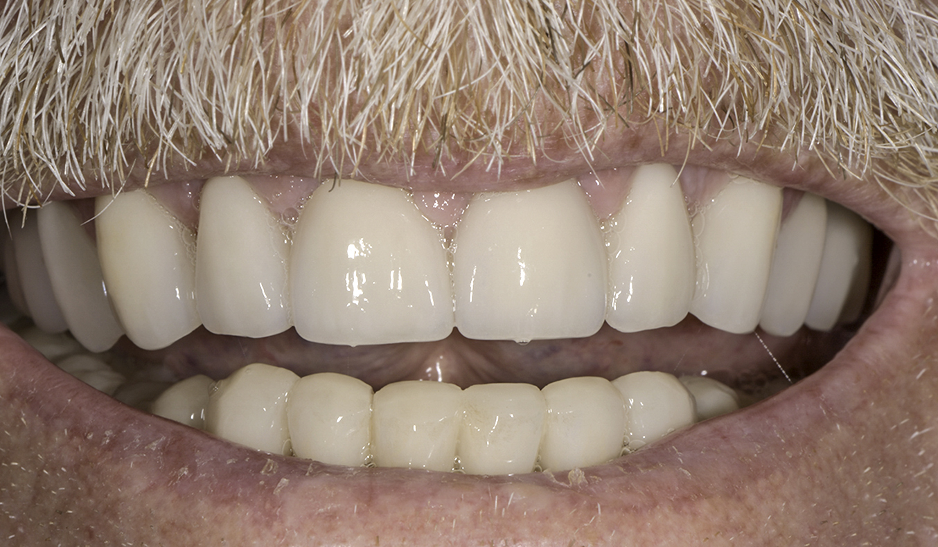
Patient grinçant des dents de manière excessive (bruxisme). Des restaurations au composite permettent de redonner une hauteur aux dents et soulager ainsi les articulations. L’esthétique et la fonction sont restaurés.
