Orthodontie pour Adultes
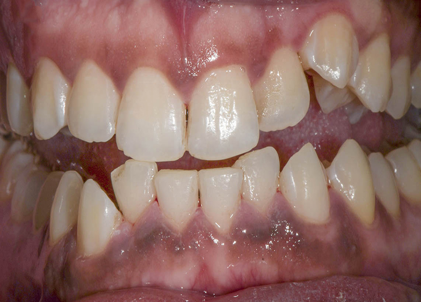
Patient de 78 ans gêné par ses incisives qui partaient en avant.
Un traitement par gouttières transparentes de 8 mois a permis de redresser les dents et améliorer le sourire et le confort du patient.
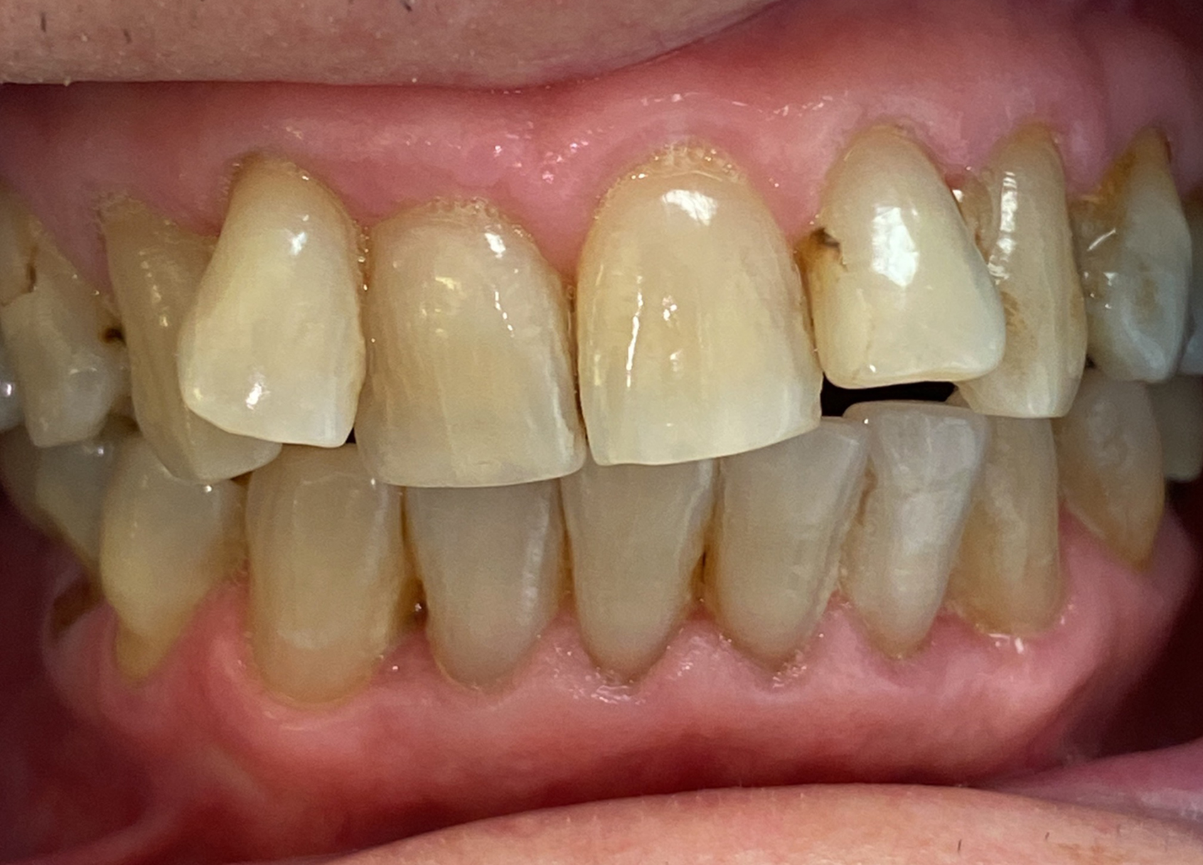
Patient de 29 ans avec des encombrements dentaires importants. Un traitement par gouttières transparentes de 9 mois a permis de transformer à la fois l’esthétique et la mastication du patient.
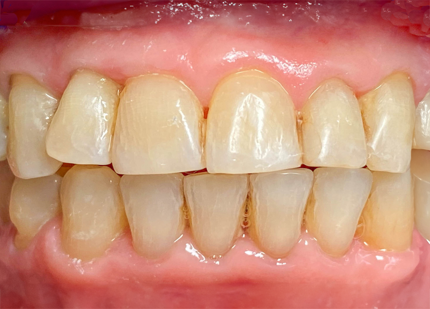
Patient de 35 ans qui se plaignait d’un léger espace apparu entre les incisives.
Un traitement par gouttières transparentes de 3 mois a permis d’éliminer cet espace.
